На Львівщині лікарі врятували руку чоловіку, яку він відрізав бензопилою

На Львівщині лікарі врятували руку чоловіку, яку він відрізав бензопилою

Випадок стався під час заготівлі дров. Рука чоловіка трималась на клаптику шкіри

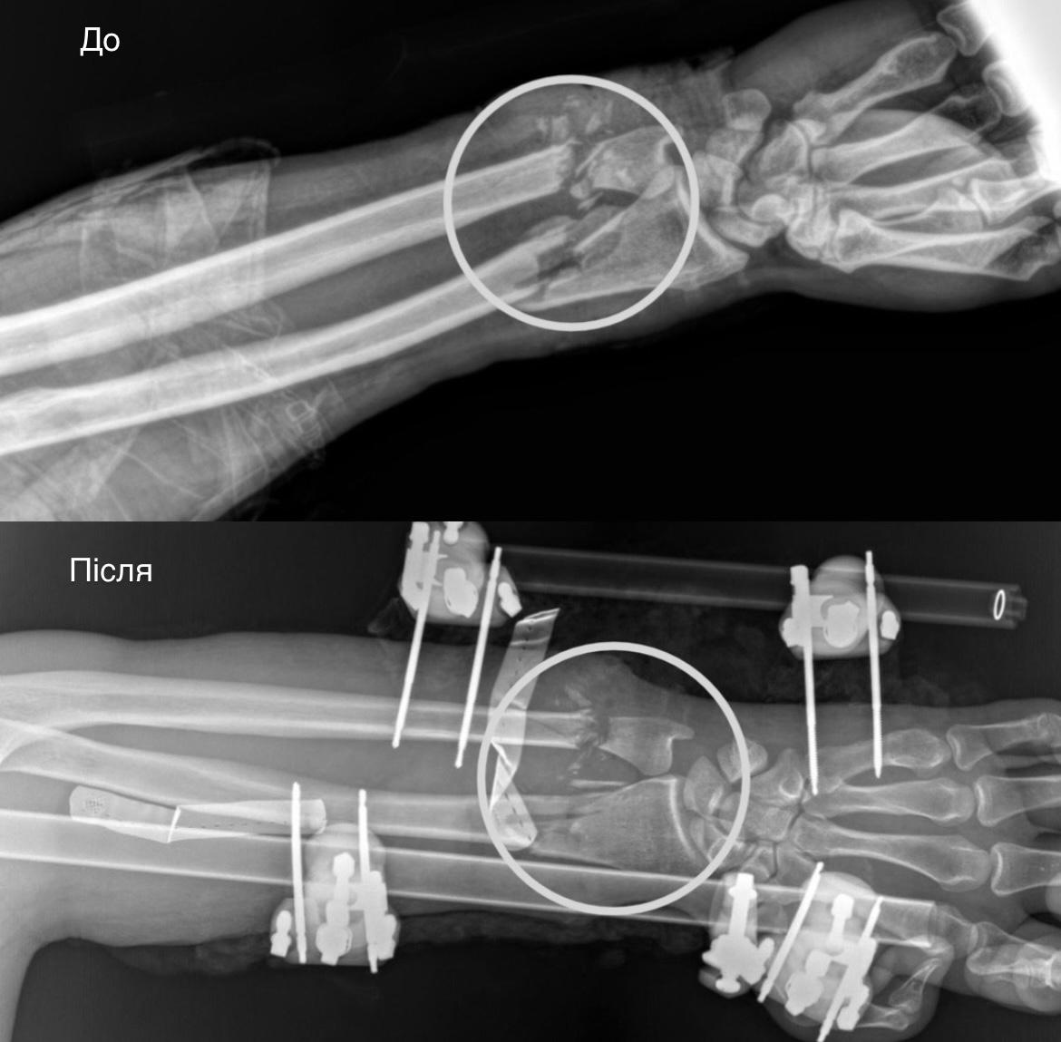
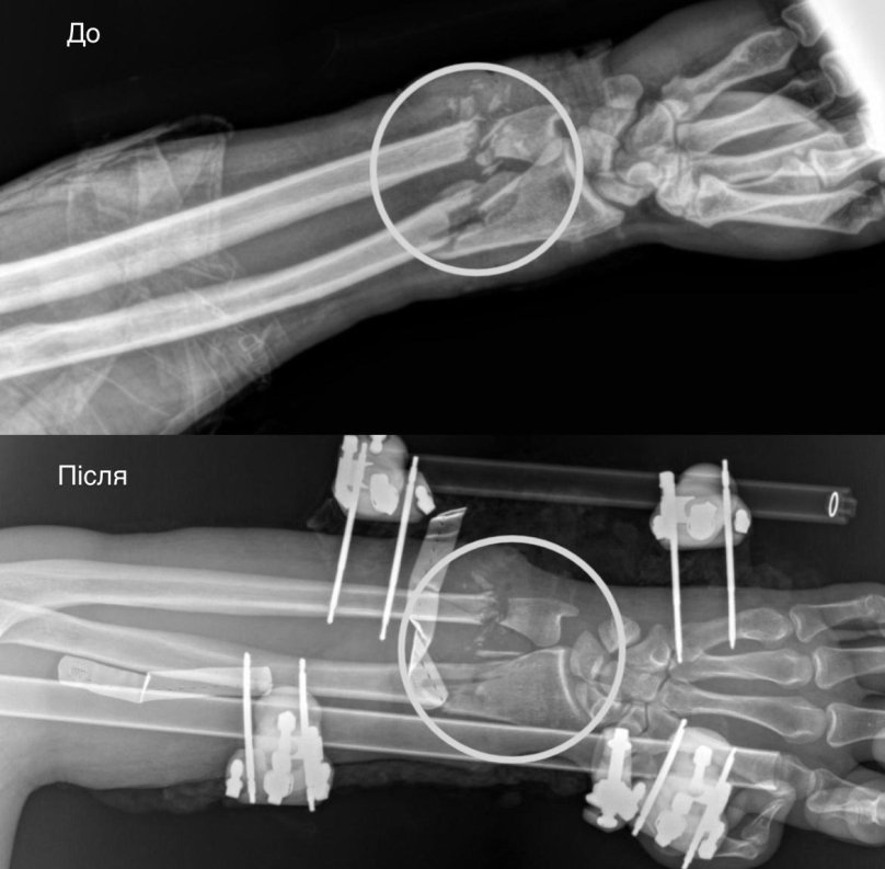
На Львівщині чоловік різав дрова бензопилою та відрізав собі руку. Внаслідок цього, рука чоловіка трималася на клаптику шкіри та могла бути фактично ампутованою. Про цей випадок повідомили у четвер, 26 лютого, у Першому медоб’єднанні Львова.

Чоловік заготовляв дрова та бензопила вислизнула йому з рук

Як стало відомо, 37-річний мешканець Львівщини заготовляв дрова та в одну мить бензопила вислизнула йому з рук і майже перерізала повністю ліве передпліччя. Дружина чоловіка швидко наклала імпровізований джгут із тканини й викликала медиків. Потерпілого одразу доправили до Львова у лікарню святого Пантелеймона та розпочали невідкладну операцію.

У чоловіка була критична травма, що включала повністю пересічені артерії, пошкоджені кістки, сухожилля, м’язи та нерви. Відтак, рука трималася на шматку шкіри.

«Складність оперативного втручання полягала у відновленні всіх структур і, по суті, самої функції руки. Без відновлення кровопостачання рука була б нежиттєздатною і довелося б виконувати ампутацію. Лише злагоджена поетапна робота мультидисциплінарної команди дала шанс її зберегти», — пояснює завідувач відділення судинної хірургії Андрій Мелень.

Є шанс на повне відновлення руки

Медикам вдалось зберегти кінцівку чоловіку. Зараз він проходить тривалу реабілітацію, у нього поступово відновлюється чуття пальців. За словами медиків, є шанс на повне відновлення функцій руки.

Пов’язані публікації

Останні новини
Переглядаючи сайт LVIV.MEDIA ви погоджуєтеся з нашою Політикою конфіденційності