Дихала однією легенею: львівські лікарі врятували дівчинку зі складною пухлиною

Дихала однією легенею: львівські лікарі врятували дівчинку зі складною пухлиною

За п’ять місяців життя маленька пацієнтка перенесла вісім наркозів, п’ять блоків хіміотерапії та надскладну операцію

Львівські медики врятували життя маленькій львів’янці, у якої виявили велику пухлину середостіння, що здавлювала легеню та зміщувала життєво важливі органи. Стан дитини ускладнювала важка інфекція. Про це повідомили у Центрі дитячої медицини 9 січня.

Самопочуття дитини погіршилось раптово

Батьки дівчинки регулярно проходили профілактичні огляди та не помічали жодних тривожних сигналів. Проте згодом у дитини раптово з’явилися біль у животі, висока температура та розлади травлення. Після УЗД і рентгену з’ясувалося, що ліва легеня майже не функціонувала через масивне утворення в грудній клітці.

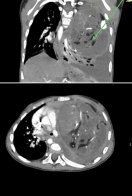
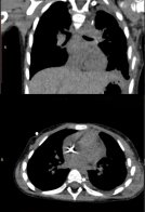
“На рентгенівському знімку уся ліва легеня була “засвічена”. Фактично вона дихала лише однією легенею”, — згадують батьки дівчинки.

Дитина потрапила до Центру дитячої медицини у важкому стані.

“У дитини виявили велике пухлинне утворення в лівій половині грудної клітки, яке повністю здавлювало ліву легеню та зміщувало життєво важливі органи. Ситуацію ускладнювала генералізована інфекція: стандартна агресивна хіміотерапія могла бути надзвичайно небезпечною. Проте через масивні розміри пухлини й компресію легені чекати було неможливо”, — розповіла онкологиня Неля Вовк.

Дитина пройшла п’ять блоків хіміотерапії

Медики вирішили розпочати хіміотерапію за життєвими показами — у максимально обережному, модифікованому режимі. Рівень онкомаркера почав стрімко знижуватися, стан дитини поступово стабілізувався. Після цього лікарі провели надскладне оперативне втручання. “Ми дуже боялися, що Аня може не перенести операцію, настільки важким був її стан”, — згадує мама дівчинки.

Пухлину вдалося повністю видалити та усунути здавлення органів і відновити їх нормальне положення. Після операції маленька Аня продовжила хіміотерапію, щоб мінімізувати ризик рецидиву. Врешті контрольні обстеження, зокрема ПЕТ-КТ у грудні, показали, що ознак активного онкологічного процесу не виявлено.

“Сьогодні батьки радіють, що Аня знову активна, усміхнена й дуже комунікабельна. У свої 2,5 роки вона вже знає, що неодмінно стане лікарем. Але тільки для дорослих. Бо хоче, щоб діти ніколи не хворіли”, — додали в Центрі.

Пов’язані публікації

Останні новини
Переглядаючи сайт LVIV.MEDIA ви погоджуєтеся з нашою Політикою конфіденційності