• Головна
  • Новини Львова
  • Львівські медики успішно видалили небезпечну пухлину мозку у двомісячної дівчинки

Львівські медики успішно видалили небезпечну пухлину мозку у двомісячної дівчинки

У Львові медики видалили небезпечну пухлину мозку двомісячній дівчинці

Операція тривала кілька годин і вимагала максимальної точності через ризик кровотечі

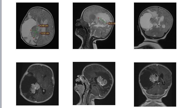
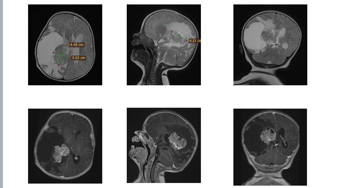
У Львові команда Центру дитячої медицини успішно провела складну операцію маленькій Олівії з Рівного. Дівчинці було всього два місяці, а у правому боковому шлуночку мозку виявили небезпечну пухлину, яка загрожувала її життю. Про це 31 грудня повідомили у пресслужбі медзакладу.

Ретельна підготовка до операції

За словами керівника Клініки дитячої нейрохірургії Михайла Ловги, видалення пухлини у такої маленької пацієнтки було дуже ризикованим. Утворення знаходилося біля судинного сплетення та зони, відповідальної за рухи, тож лікарям доводилося працювати максимально обережно.

“На той момент Олівія важила близько 6 кг. Утворення розташовувалося в зоні судинного сплетення з високим кровопостачанням, а отже, з високим ризиком значної крововтрати. До того ж пухлина була близько до ділянки, відповідальної за рухи», — розповів Михайло Ловга.

Перед операцією команда детально обговорила всі можливі ускладнення, підготувала запас крові та спеціальні матеріали для контролю кровотечі, а також залучила суміжних спеціалістів на випадок критичних ситуацій.

Саме втручання тривало довше звичайного: лікарі поетапно контролювали крововтрату та обережно видаляли пухлину, щоб не пошкодити рухові зони мозку. Завдяки висококваліфікованій роботі нейрохірургів, анестезіологів, нейрофізіологів та операційних медсестер операція пройшла успішно.

Пов’язані публікації

Останні новини
Переглядаючи сайт LVIV.MEDIA ви погоджуєтеся з нашою Політикою конфіденційності