Львівські хірурги врятували жінку з пухлиною, яка проросла від матки до серця

В Університетській лікарні врятували жінку із пухлиною від матки до серця

52-річна жінка спершу не помічала жодних ознак онкозаховрювання

Львівські хірурги врятували 52-річну жінку. У неї пухлина з матки дісталася до серця. Про це повідомили в університетській лікарні ЛНМУ ім. Данила Галицького у вівторок, 17 березня.

Спершу у жінки на обстеженні виявили тромб

Перші ознаки поганого самопочуття жінка відчула по дорозі до народного дому одного із сіл Яворівського району на Львівщині. 52-річна пані Леся почула різку слабкість та знепритомніла. Отямившись, звернулась до сімейної лікарки. Під час обстеження на УЗД медики виявили тромб та поклали жінку до стаціонару лікарні. Згодом її скерували до львівських фахівців.

В Університетській лікарні у 52-річної пацієнтки діагностували новоутвір у матці та тромбоз нижньої порожнистої вени, який доходив до серця. Спершу жінку лікували консервативно, оскільки ознак онкозахворювання не було. Згодом після того, як позитивної динаміки не спостерігалось, пацієнтку направили до мультидисциплінарної команди медиків. Її почали лікувати судинні хірурги, кардіохірурги, онкологи та онкогінекологи.

“Тоді стало зрозуміло, що мова йде про пухлинний процес. Тож ми вирішили робити операцію. Вона мала бути складна тому, що сам утвір, який поширювався по вені, не був фіксований до її стінки. І він міг при маніпуляціях в будь-який момент відірватися, попасти в серце і пацієнтка би померла”, — розповів судинний хірург, професор Юрій Орел.

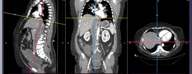
Пухлина доходила від матки до передсердя

Пухлина була в матці жінки, а у порожнистій вені вона досягала діафрагми і майже доходила до правого передсердя. Для порятунку жінки, лікарі видалили матку разом іх пухлиною та забрали пухлинний тромб довжиною 40 сантиметрів, що сягав правого передсердя пацієнтки.

"Складність операції полягає у тому, що в нижній порожнистій вені є великий кровоплин. Коли ми відкриваємо цю судину, є великий ризик кровотечі, оскільки в неї впадають додаткові гілки. І при видаленні пухлинного тромбу є велика ймовірність великої крововтрати, яку швидко потрібно повернути назад”, — пояснив кардіохірург Дмитро Бешлей.

За результатами досліджень, у жінки виявили лейоміому. Це доброякісна пухлина матки з поширенням по порожнистій вені. Як пояснюють медики, лейоміома часто поширена хвороба у жінок, але розвиток патології із розповсюдженням у вену є дуже рідкісним та трапляється лише у 0,25-0,4 % пацієнток.

Зараз 52-річна пані Леся із Яворівщини вже пройшла реабілітацію та веде звичне життя.

Пов’язані публікації

Останні новини
Переглядаючи сайт LVIV.MEDIA ви погоджуєтеся з нашою Політикою конфіденційності