У Дрогобичі врятували 29-річного пацієнта з масивною кровотечею

У Дрогобичі врятували 29-річного пацієнта з масивною кровотечею

Кровотечу спричинив синдром Маллорі-Вейсса

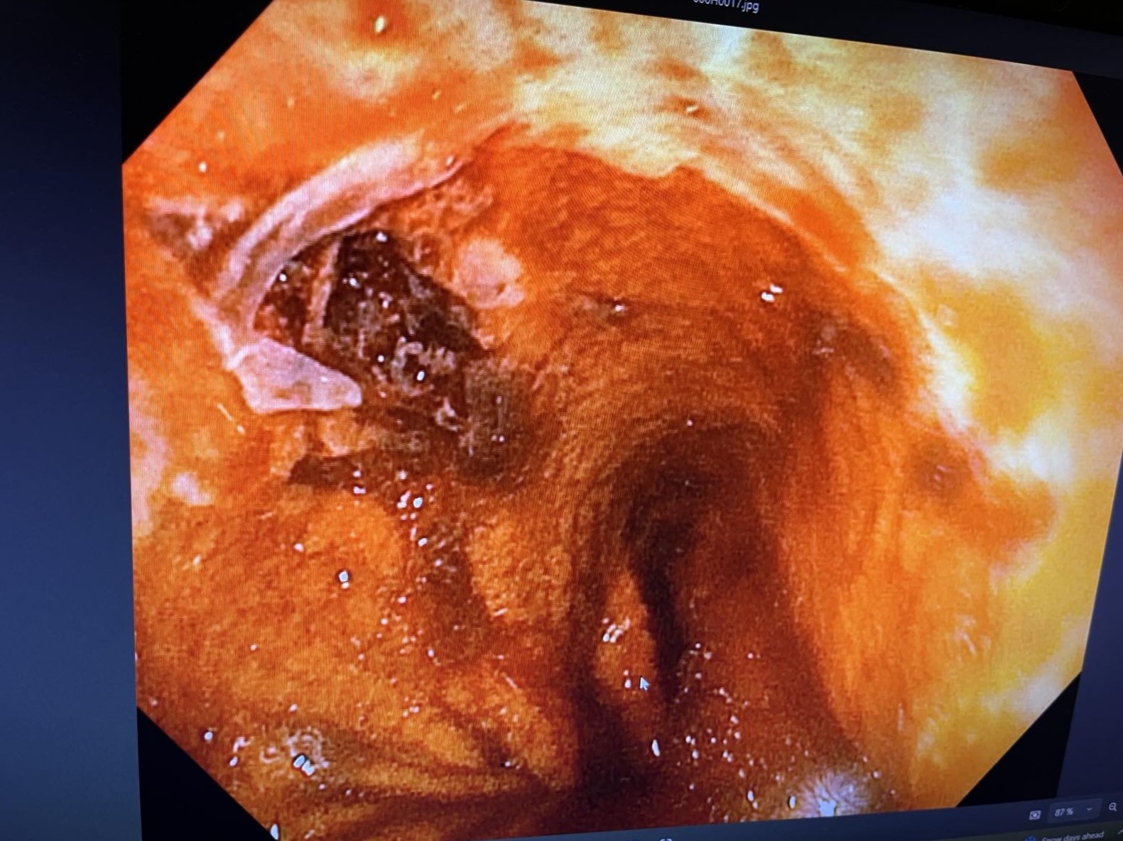
У Дрогобичі медики врятували 29-річного чоловіка, який поступив до лікарні у критичному стані з масивною шлунково-кишковою кровотечею. Причиною став синдром Маллорі-Вейсса — поздовжній розрив слизової оболонки в ділянці з’єднання стравоходу та шлунка. Про це повідомили у лікарні 19 лютого.

Як зупинили кровотечу

Як розповів лікар-ендоскопіст, завідувач діагностичного відділення Станіслав Шуцький, пацієнту оперативно виконали гастрофіброскопію  LVIV.MEDIA/static/sprite/symbol.svg#info"> . У місці з’єднання стравоходу зі шлунком медики виявили розрив слизової оболонки та пошкоджену судину.

«В ході маніпуляцій та завдяки введенню фізіологічного розчину, який «роздуває» тканини - було досягнуто ефекту перетискання пошкодженої судини. Таким чином кровотечу вдалось зупинити», — зазначили у лікарні.

Після стабілізації стану пацієнта ушпиталили до реанімаційного відділення. Наразі він перебуває під цілодобовим наглядом медиків, загрози його життю немає.

Що відомо про синдром Маллорі-Вейсса

За словами лікаря, синдром Маллорі-Вейсса трапляється нечасто — у медзакладі фіксують 5–6 таких випадків на рік. Найчастіше розрив виникає через різке підвищення внутрішньочеревного тиску, зокрема під час сильної блювоти або кашлю. Основний прояв — шлунково-кишкова кровотеча.

Пов’язані публікації

Останні новини
Переглядаючи сайт LVIV.MEDIA ви погоджуєтеся з нашою Політикою конфіденційності