• Головна
  • Новини Львова
  • У львівському госпіталі військовому відновили 12,5 см зруйнованої кістки за новою методикою

У львівському госпіталі військовому відновили 12,5 см зруйнованої кістки за новою методикою

У Львові військовому відновили кістку 12,5 см за методикою Маскулет

Методика Маскулет дозволяє лікувати найскладніші поранення, коли традиційні способи не допомагають

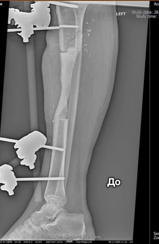
У Львівському обласному госпіталі ветеранів почали застосовувати передову хірургічну методику Маскулет для лікування складних бойових травм. За цією технологією лікарі вже провели двоетапну операцію військовослужбовцю з критичним дефектом кістки довжиною понад 12 сантиметрів. Про це 24 грудня повідомили у Львівській обласній раді.

Як працює методика Маскулет

Нещодавно медзаклад відвідав відомий ортопед-травматолог, голова Асоціації остеосинтезу України Олександр Ріхтер. Разом із лікарями ортопедо-травматологічного відділення він провів майстер-клас і показову операцію з використанням цієї техніки.

Пацієнтом став військовослужбовець із критичним дефектом кістки — ушкодження сягало 12,5 сантиметра. У таких випадках стандартне лікування часто не дає результатів, тому медики вирішили застосувати методику Маскулет. Вона передбачає два етапи: спершу лікарі формують спеціальну «камеру» для кістки, а згодом заповнюють її кістковою тканиною та стабілізують уламки.

«Техніку Маскулет нерідко називають «операцією останньої надії», адже вона дає шанс на відновлення у випадках важких вогнепальних поранень і значних кісткових втрат. Метод дозволяє уникнути тривалого використання апаратів зовнішньої фіксації та скорочує шлях пацієнта до повноцінного відновлення», — зазначають у госпіталі ветеранів.

Наразі пацієнт успішно відновлюється після операцій. Попереду — курс реабілітації під наглядом команди фахівців. У госпіталі додають, що й надалі залучатимуть провідних українських та міжнародних експертів, аби впроваджувати сучасні методи лікування.

Пов’язані публікації

Останні новини
Переглядаючи сайт LVIV.MEDIA ви погоджуєтеся з нашою Політикою конфіденційності